トップ
野坂歯科医院について
診察内容
歯とお口の「予防」
むし歯の治療
歯周病の治療
きれいな歯並びに
美しい白い歯に
インプラント
義歯(入れ歯)
口臭のご相談
その他
糖尿病支援歯科医院
学会・論文発表など
リンク
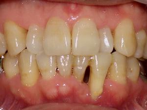
このように歯周病となると歯肉の退縮が起こります。
歯肉の退縮は、歯肉の中の歯槽骨に一致して歯肉が形態をなすためといわれています。