削って白くする治療のながれ

むし歯を削っていきます。被せものを入れるための形を整えます。
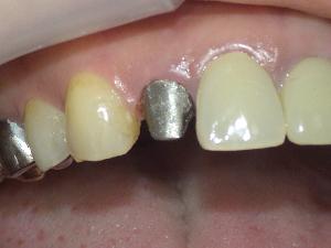
形ができたところです。これで型取りを行います。
被せものが入ります。

 

           

 

神経の治療を行った場合などは土台をいれてから形を整えることもあります。

土台の形を整えてから型取りを行います。
被せものが入ります。