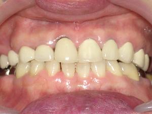
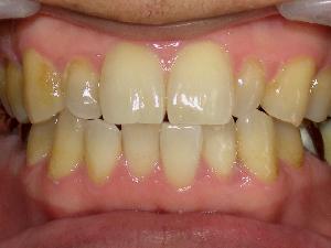
細菌性プラークによる歯肉炎(単純性歯肉炎)
一般的な歯肉炎です。
歯肉炎 (歯石除去前) 歯肉炎改善(歯石除去後)
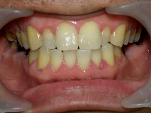
1.ステロイドホルモンによる歯肉炎

治療前(歯石除去前) 治療後(歯石除去後)
ステロイド、ホルモン剤などを内服されている方は歯肉が腫れやすいです。
その理由を知りたい方はこちら
女性の方で甲状腺の薬などホルモン剤、ステロイドを内服されている方も歯肉が腫れやすいです。
この場合も、歯石を除去するだけで改善することがあります。
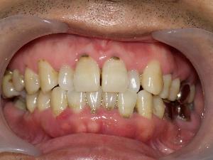
2.薬剤の副作用による歯肉炎

治療前(歯石除去前) 治療後(歯石除去後)
高血圧の薬(カルシウム拮抗薬)を内服されている方は、歯肉が腫れやすくなります。
こうのような歯肉炎も歯石に付着した汚れが原因です。
このような場合も歯石を除去をすることで歯肉は改善します。
この理由を知りたい方はこちら
3.重度歯周病

治療前(歯石除去前) 治療後(歯石除去後)
歯周病は、進行するにしたがって歯を支える骨が溶けてしまう特長があります。
さらに一度溶けて下がってしまった骨は、基本的に元の位置に戻ることはありません。
治療が完治しても下がった場所で止めるのが精一杯で、治療を行わなければ、どんどん進行してしまうのです。
