トップ
-
野坂歯科医院について
診察内容
-
歯とお口の「予防」
-
むし歯の治療
-
歯周病の治療
-
きれいな歯並びに
-
美しい白い歯に
-
インプラント
-
義歯(入れ歯)
-
口臭のご相談
-
その他
|
|
|
|
義歯のいろいろ
|
入れ歯の種類
|

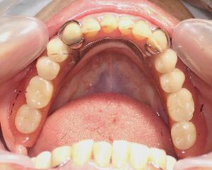
部分入れ歯は何本かの歯が連なって失われてしまった場合に作成します。部分的な入れ歯です。床(しょう)という土台の上に、バネと人工歯で支えとなる歯に取り付ける仕組みです。形はお口と歯の状態で決まります。 |
|
「義歯の料金」の詳細はこちら |
|

歯が1本もなくなってしまった場合に総入れ歯を使用します。 床の上に人工歯を並べた仕組みのものです。支える歯が無いため調整に比較的、時間がかかります。 |
|
「義歯の料金」の詳細はこちら |
|

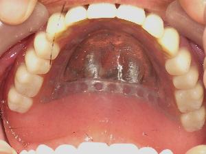
金属義歯とは、入れ歯の主要部分を金属で作った入れ歯です。 レジン(プラスティック)に比べて丈夫な素材である金属を使うため、快適で、たわまず、丈夫な入れ歯を作ることが可能になります。 金属ならではの薄い仕上げは違和感を少なくし、お口の中を広く感じさせ、熱の伝わりの良さで一層おいしく食事を楽しむことができます。 |
|
|
 
薄くて快適:保険の義歯の約1/3の薄さで入ればを作ることが可能です。 温度が伝わる:食べ物の温度を瞬時に伝えることができます。 歯にも優しい:部分入れ歯でも残っている天然歯にあまり負担を掛けません。 引用元:「快適な入れ歯のご案内」Wada Precision Laboratories Co.,Ltd. 部分入れ歯を固定するためのバネを目立たないように仕上げることができます。 前歯に入れ歯の大きなバネが見えることに抵抗がある方にはお勧めです。 修理、リフォームも可能です。 「義歯の料金」の詳細はこちら
| |
|
|
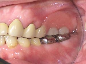
義歯にクラスプを使用せず、マグネットにて義歯を固定します。そのため義歯が安定します。現在はマグネットはインプラントの併用も可能です。 |
|
「義歯の料金」の詳細はこちら |
|

部分入れ歯は何本かの歯が連なって失われてしまった場合に作成します。部分的な入れ歯です。床(しょう)という土台の上にバネではなくと自分の歯を使用して固定します。 |
|
「義歯の料金」の詳細はこちら | |
|
|
|
|
|