治療をするための検査

キチンと治療するための検査

初回20分~のお時間をいただき、歯周病とは、どんな病気なのかをご説明させて頂き、実際にあなたのお口の中の現状を調べさせていただきます。お口の写真、レントゲン、歯茎の検査、口臭測定(無料)、口の中の粘膜の汚れをチェック(無料)させて頂きます。 「歯周病治療の料金」について詳細はこちら


★野坂歯科医院ではそれぞれの患者さまに担当衛生士がつきます。
検査に関しても基本的に担当衛生士が行います。
    



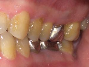
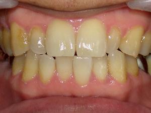
口腔内写真(口の写真)

            
 
口腔内の普段みることができかいところまでみることができます。
歯の位置、形、傾き、ブラッシングのくせ、歯肉の状態など写真で詳しく説明します。



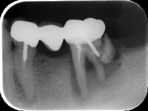
レントゲンのよる検査
       

 表面からみただけではわからない歯や歯槽骨の状態を調べます。あごの状態も確認します。



周基本・精密検査
 


歯肉の検歯と歯の隙間(歯周ポケット)に目盛りのついた器具を挿入してポケットの深さを測ります。ポケットの深さを測り、歯周病の進行を調べます。3mm以下なら正常です。 毎回なんでこんなことされるのかと思われるかもしれませんが、この検査は保険制度上定められており、検査なしでお口のお掃除はできません。