|
ホームホワイトニング
適応範囲が広く安定した効果が期待でき、オールマイティーな感じがします。ホワイトニング前の歯の色や歯の質に、左右されにくく、オフィスホワイトニングで効果を感じられなかった場合でも、こちらに切り替えることで、さらに白くなることもあります。ただし時間や期間がかかります。
料金 片顎10,500円 両顎15,750円
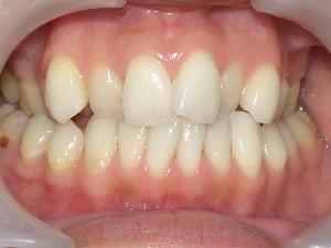
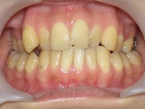
  ホワイトニングトレー 治療前 治療後
オフィスホワイトニング
ホワイトニング前の歯の色や質がごく普通であれば、十分効果が発揮されます。さらに効果の出やすい歯の色や質であれば、短時間で劇的な効果が期待できます。
料金 1歯3,150円(3回行います)
|