トップ
野坂歯科医院について
診察内容
歯とお口の「予防」
むし歯の治療
歯周病の治療
きれいな歯並びに
美しい白い歯に
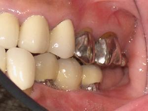
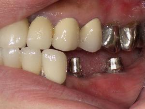
インプラント
義歯(入れ歯)
口臭のご相談
その他
糖尿病支援歯科医院
学会・論文発表など
リンク
STEP1 カウンセリングと検査
STEP2 診断に基づいた治療計画の説明
治癒期間の目安上顎前歯/上顎奥歯:3~6ヶ月 下顎前歯/下顎奥歯:3ヶ月
STEP6 上部構造の設置
STEP7 上部構造のチェック