バネがない入れ歯はあるの?
コーヌス義歯(ブリッジ)は取り外しのできる義歯です。通常の保健治療に用いられる義歯と違ってバネがない為、「見た目が良い」「装着時の違和感が無い」「歯に負担をかけない」などのメリットがあります。また、取り外した状態での歯磨き(プラークコントロール)がし易く、自分の歯を守るための最適な補綴法です。

 

 

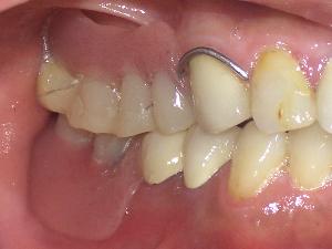
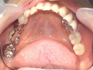
下の義歯はコーヌスクローネです。上が保険内のバネがついた保険内義歯です。
コーヌスクローネは義歯を安定させるためのバネがないため自然な形態に見えます。