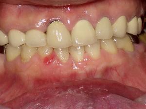
歯肉が赤くなっているところはありませんか?
下の写真の赤くなっている部分は歯肉炎です。
観察2 歯肉のかたちを見てみましょう。
歯と歯の間の歯肉は、腫れてふくらんだようになっていませんか?これも歯肉炎の症状です。
健康な歯肉を保つには
観察1・2であてはまるところがあったら、それは歯肉炎の注意信号がでているところです。そのほかにも歯肉炎の症状には、歯をみがくときに血がでるなどがあります。しかし、歯肉炎はていねいに歯みがきをしてプラーク(歯垢)をとりのぞくことで、もとの健康な歯肉にもどすことができます。
TOPへ戻る


